室内循环水养殖大黄鱼盾纤毛虫病的病理学分析
Pathological analysis of scuticociliatosis of Larimichthys crocea in indoor circulating water culture
通讯作者: 李晓东(1992—),男,副教授,研究方向为海洋生态毒理学。E-mail:lixiaodong11@163.com
收稿日期: 2023-05-11
| 基金资助: |
|
Received: 2023-05-11
作者简介 About authors
杨桂琴(1995—),女,硕士研究生,研究方向为水产动物病害及免疫学。E-mail:2191180736@qq.com
为了解大黄鱼(Larimichthys crocea)室内养殖时常见的鱼类疾病,本文报道了大黄鱼实验室循环水养殖时出现的体表寄生盾纤毛虫病。通过对大黄鱼皮肤、肝脏和肌肉进行组织病理学分析,探讨了盾纤毛虫病的致病机理。同时为进一步鉴定致病盾纤毛虫,本实验从大黄鱼体表病灶处分离出病原虫,采用活体甲醛固定显微镜和扫描电镜观察,对盾纤毛虫的形态特征进行分析。结果显示,大黄鱼体表头部、皮肤、鳍基部均有发白症状,鳃盖充血,严重时皮肤呈白块状溃烂,显微观察到有大量盾纤毛虫的寄生,体内组织未见明显病变。组织病理显示,大黄鱼皮肤及皮下组织是感染盾纤毛虫的主要部位,出现组织性坏死、细胞溶解和炎性细胞增多现象;肌肉组织大部分区域肌浆溶解、肌原纤维明显断裂和肌纤维间隙增大;而肝脏组织细胞之间的界限不明显,中央静脉被压迫,单核细胞增多,实质细胞变大。显微和超微结构显示,虫体形态主要为顶端略尖、体后端钝圆、含有一个明显的伸缩泡和一根长鞭毛,经形态学初步判定其病原体与水滴伪康纤虫(Pseudocohnilembus persalinus)相似。研究表明盾纤毛虫会入侵并危害大黄鱼,使其失去皮肤的屏障保护并降低抵抗力及免疫力,导致大黄鱼因无法维持正常的生命活动而逐渐死亡。
关键词:
In order to investigate the common fish diseases in indoor culture of large yellow croaker (L.crocea), this study reports the occurrence of scuticociliatosis, a parasitic disease, on the surface of L.crocea in a laboratory circulating water recirculation system. The histopathological analysis of skin, liver and muscle of L.crocea was carried out to explore the pathogenic mechanism of scuticociliatosis. At the same time, in order to further identify the body surface parasitic Scuticociliatida ciliates of L.crocea, the pathogen was isolated, and the morphological characteristics of Scuticociliatida ciliates were analyzed by in vivo formaldehyde fixed microscopic observation and scanning electron microscope observation. The results revealed the presence of whitening symptoms on the head, skin, and fin base of L.crocea. Gill cover congestion and severe cases of white massive skin ulceration were observed, along with the infestation of a significant number of Scuticociliatida ciliates. Notably, no apparent pathological alterations were detected in the body tissue. Histopathological analysis showed that the skin and subcutaneous tissue were the main sites of infection with Scuticociliatida ciliates. Tissue necrosis, cytolysis and increase of inflammatory cells occurred in most areas of muscle tissue. Myofibril was obviously broken and muscle fiber space was enlarged, while the boundary between liver tissue cells was not obvious, the central vein was oppressed, mononuclear cells increased and parenchyma cells enlarged. It was observed that the body of the pathogen was mainly slightly pointed at the top, blunt and round at the back end of the body, and contained an obvious telescopic vesicle as well as a long flagellum. The pathogen was identified as Pseudocohnilembus persalinus by morphology. Taken together, the histopathological results showed that the Scuticociliatida ciliates could infect the body surface tissue of L.crocea, resulting in loss of protection and resistance. At the same time, this study can provide a certain reference basis for indoor healthy culture of L.crocea.
Keywords:
本文引用格式
杨桂琴, 李晓东, 路玮静, 姜璠, 陈紫琴, 张伟妮, 陈新华.
YANG Guiqin, LI Xiaodong, LU Weijing, JIANG Fan, CHEN Ziqin, ZHANG Weini, CHEN Xinhua.
大黄鱼(Larimichthys crocea),隶属鲈形目(Perciformes)、石首鱼科(Sciaenidae)、黄鱼属(Larimichthys),肉质鲜美、营养丰富、经济价值高,是中国重要的海水养殖经济鱼类,也是福建省网箱养鱼产量最高的鱼种[1⇓-3]。近年来,随着大黄鱼养殖业的快速发展,其养殖量日益攀升,养殖密度逐渐增大,导致大黄鱼养殖环境遭到严重破坏,进而出现由细菌、病毒和寄生虫引发的疾病频发[4⇓-6],其中以近年来流行暴发的大黄鱼刺激隐核虫病危害最为广泛,对养殖业造成了巨大经济损失[7-8]。国内外关于刺激隐核虫病的组织病理学已有很多报道,当虫体在宿主中发育时,受侵染的皮肤会形成“白点”,严重感染的个体会出现上皮细胞坏死、脱落的现象,更甚者细胞凋亡、宿主死亡[9-10]。在感染刺激隐核虫病的大黄鱼中发现,患病鱼的各内脏组织器官都有明显的病变特征,包括肝脏充血萎缩、脾脏肿胀、胆囊发炎、肠道内充满了大量的黄白色黏液[11]。
目前,有研究表明海水鱼类体内寄生的纤毛虫大多以盾纤毛虫为主,易感染的鱼类主要是牙鲆(Paralichthys olivaceus)、大菱鲆(Scophthlmus maximus)、红鳍东方鲀(Takifugu rubripes)和鲈鱼(Perch spp.),该虫病在鱼类育苗期、养成期均可发生,一旦感染,传染速度非常快,发病率极高,会造成鱼类规模性死亡[12-13]。在分离鉴定出的多种盾纤毛虫中,贪食迈阿密虫(Miamiensis avidus)可引起细点牙鲷(Dentex dentex)盾纤毛虫病,患病鱼会出现体表出血、背鳍溃烂、皮肤褪色、大量腹水的现象[14];由尾丝虫属(Uronema sp.)引起的珊瑚礁鱼盾纤毛虫病,患病鱼的骨骼肌发炎、皮肤及鳃细胞坏死[15];由蟹栖异阿脑虫(Mesanophrys carcini)引起的养殖大菱鲆盾纤毛虫病,患病鱼的病灶部位变白、浮肿,病鱼组织出现多处明显病变[16]。然而在大黄鱼体表寄生的盾纤毛虫病的病理学分析鲜有报道,因此本研究通过对自然患病大黄鱼与正常大黄鱼的组织病理变化进行比较研究,分离出盾纤毛虫病原体,对其进行形态特征分析,探讨大黄鱼盾纤毛虫病的病理过程和发病机理,同时初步分析并推测盾纤毛虫的分属地位,为海水鱼类在室内循环水养殖出现的盾纤毛虫病的预防及诊断提供参考依据。
1 材料与方法
1.1 实验用鱼
实验用大黄鱼体质量为(7.0±2.5)g,购自福建省罗源县泽洋水产有限公司,均为海水养殖网箱中健康人工繁育个体,采用实验室内循环水养殖系统进行饲养,养殖环境温度为(19±1)℃。在适应性养殖第3天开始,个别大黄鱼体表出现小白点,之后逐渐形成白斑。经检查选取健康大黄鱼与患病鱼进行实验。
1.2 虫体培养
盾纤毛虫培养液制备:剪取5.0 g大黄鱼肉,充分研磨糜烂后,加入适量的蒸馏水,用经0.45 μm混合纤维滤膜过滤的海水与研磨的鱼肉混匀后再进行高温高压灭菌处理,待冷却后,先用纱布滤除多余的肉渣,再用0.45 μm混合纤维滤膜过滤肉汤,将10 mL过滤的肉汤加入100 mL过滤的海水中,形成的海水肉汤培养基即为盾纤毛虫培养液。
实验所用的纤毛虫分离自患病大黄鱼体表发白溃烂处,将分离得到的虫体接种于海水肉汤培养基中进行驯化培养。在肉汤培养状态下,虫体游动极其活跃,喜在组织碎屑中聚集,并通过体前端的尖顶在基质中钻营;单个虫体在2~3 d内可通过二分裂快速繁殖形成高密度的虫体群。
1.3 实验方法
1.3.1 解剖观察
活体解剖濒死大黄鱼,用肉眼和解剖镜观察患病鱼体表及其内脏组织病变情况,并与健康大黄鱼作比较,以确定该病的主要病变情况及病变部位,再以此为依据合理选择组织切片的病理材料。
1.3.2 寄生虫检查
将患病大黄鱼体表黏液、鳍条、鳃片、病灶溃烂部位的深层组织制成水浸片进行镜检,挑取少量肝脏、脾脏、肠道进行压片检查。
1.3.3 光镜样品制备及观察
用解剖剪、镊子分别取患病大黄鱼和健康大黄鱼的鳃、肝脏、脾脏、肠、肌肉、皮肤 6 种组织。先用10%多聚甲醛固定24 h,经过70%乙醇清洗数次,再用70%~100%乙醇逐级脱水45~60 min,然后用二甲苯透明,石蜡包埋,石蜡切片机切片,HE染色,中性树胶封片,最后显微镜下观察并拍照保存。
1.3.4 盾纤毛虫的形态观察
多聚甲醛固定观察:吸取1 mL虫液加至1.5 mL EP离心管中,吸取少量体积分数为10%多聚甲醛溶液滴入离心管中,摇匀灭活之后,从中吸取虫液滴在干净载玻片上,并缓慢盖上盖玻片,由低倍镜到高倍镜依次观察并拍照记录保存。
扫描电镜观察:将需要制样的虫体离心(3 000 r/min、5 min)后,用体积分数为2.5%的戊二醛电镜固定液固定5 min以上,采取王印庚等[17]研究的步骤进行制片,并用扫描电镜观察及拍照记录保存。
2 结果与分析
2.1 解剖观察与发病症状
在实验室适应性养殖过程中,前3 d未发现大黄鱼体表出现明显的病变特征,第4天时在鱼体表及鳍条可见颗粒状的小白点,患病鱼静卧池底或在出水口边缘缓慢游动,体色变暗,摄食减少,活力下降,黏液增多。在养殖5~6 d时,部分大黄鱼眼睛白浊、鳃盖充血,严重时体表或头部皮肤组织呈块状发白溃烂,皮下组织肌肉发红,表皮病灶多有浮肿现象,鱼体失去皮肤的屏障保护,导致盾纤毛虫侵染入更深层组织,使死亡的大黄鱼只剩下一层白膜。同时镜检体表病灶部位发现大量盾纤毛虫寄生;剖检后未见内脏器官病变和寄生虫(图1)。健康鱼一经感染,几乎全部死亡。
图1
图1
患病大黄鱼症状
注:图中红色圆圈代表大黄鱼病变组织。a.头部发白;b.体表局部块状泛白,鳃盖充血;c.背鳍发白;d.剖检,上为健康大黄鱼,下为患病大黄鱼。
Fig.1
Symptoms of diseased L. crocea
Notes: The red circle in the picture represented the diseased tissue of L.crocea. a. Head whitening; b. Local massive whitening of the body surface, gill cover hyperemia; c. Whitening of the dorsal fin; d. Autopsy showed healthy L.crocea at the top and diseased L.crocea at the bottom.
2.2 组织病理
与健康大黄鱼相比,患病大黄鱼的体表、肝脏、肌肉组织均表现出明显的组织病理变化;而鱼鳃、脾脏、肠道等组织未发现明显病变,因此未将图片列出。
2.2.1 体表皮肤及皮下组织
图2
图2
大黄鱼体表组织病理变化
注:图中箭头代表盾纤毛虫。a. 健康鱼;b. 患病鱼;c. 4倍显微镜下的体表黏液盾纤毛虫。
Fig.2
Pathological changes on the body surface of L. crocea
Notes: The arrow in the picture represented the scuticociliatida. a. Healthy fish; b. Sick fish; c.Scuticociliatida on the body surface under a 4X microscope.
2.2.2 肝脏
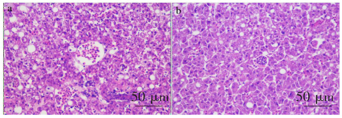
如图3所示,健康大黄鱼近似椭圆的多角形细胞为实质细胞,以放射性排列向四周扩散,部分胰脏组织嵌入肝组织中,经HE染色呈紫蓝色的为胰腺细胞间结缔组织,其呈现出较强的嗜碱性。在患病大黄鱼肝脏中未发现寄生的纤毛虫,发生明显的组织变化是肝脏细胞增生,细胞之间的界限不明显,中央静脉被压迫,单核细胞增多,实质细胞变大,结缔组织的嗜碱性减弱。
图3
图3
大黄鱼肝脏组织病理变化
注:a. 健康鱼; b. 患病鱼。
Fig.3
Liver histopathological changes of L. crocea
Notes: a.Healthy fish; b.Sick fish.
2.2.3 肌肉
如图4所示, 健康大黄鱼肌肉组织中肌细胞排列紧密、条纹清晰,细胞核位于细胞边缘。患病大黄鱼肌细胞着色不均匀,大部分区域浆溶解,肌原纤维明显断裂、弯曲不齐,肌纤维间隙增大。
图4
图4
大黄鱼肌肉组织病理变化
注:a. 健康鱼; b. 患病鱼。
Fig.4
Pathological changes of muscle tissue of L. crocea
Notes: a.Healthy fish; b. Sick fish.
2.3 盾纤毛虫的形态学
由图5可知,虫体外形为饱满的水滴状,皮膜薄而无缺刻,顶端略尖,常向后背弯曲,后端浑圆,周身长有纤毛,体排列稀疏;虫体大小约(20~35)μm×(10~20)μm,体内具有多个2~5 μm 的圆形食物泡,细胞质无色,显微镜下可见位于中央区的不透明大核,呈圆形,体后端含有一个透明的伸缩泡和一根长鞭毛。通过活体甲醛国定显微镜及扫描电镜观察,初步分析及推测该盾纤毛虫可能为水滴伪康纤虫(Pseudocohnilembus persalinus)。
图5
图5
盾纤毛虫形态
注:a. 甲醛固定显微镜观察;b. 扫描电镜观察;c. 盾纤毛虫形态裂解过程。
Fig.5
Morphology of S. ciliates
Notes: a. Formaldehyde fixed microscope; b. Scanning electron microscope; c. Morphological cleavage process of Scuticociliatida.
3 讨论
大黄鱼是福建省重要的海水养殖鱼类,其寄生虫病害主要有刺激隐核虫病[18]和单殖吸虫类本尼登虫病[19],也有寄生于大黄鱼的拟格拉夫涡虫病[20],而关于大黄鱼体内感染寄生盾纤毛虫致病死亡的报道鲜有。通常感染盾纤毛虫病的鱼类有牙鲆、大菱鲆、真鲷(Pagrus major)、花鲈(Lateolabrax maculatus)、金枪鱼(Thunnus spp.)、红鳍东方鲀等海水鱼类,一旦感染,均会造成严重的危害[12-13,21]。张善霹[8]首次报道了大黄鱼因体表溃烂而大量死亡,并从体表病灶部分和内脏观察到大量盾纤毛虫。在相关研究[22]中,受到盾纤毛虫感染的鱼类通常会出现体表黏液增多现象,并附着分布不规则的白色块状絮团,患病鱼消瘦、活力下降、易打圈式游动,摄食量降低甚至绝食,这和本研究患病大黄鱼出现的症状一致。患病严重的鱼类体表和鳍基部会发红或糜烂,鱼鳃出血褪色、鳃盖内侧红肿,皮肤和皮下肌肉组织出血或坏死性溃疡,此外有的病鱼肝脏出血或糜烂,脾脏淤血、肿大,肠道松弛,腹腔积水,体内和体表病灶处均出现大量寄生的盾纤毛虫[22-23],这表明盾纤毛虫没有明显的宿主选择性。在本研究中同样发现患病大黄鱼皮肤及皮下组织严重溃烂,鳃盖发白充血,肌肉组织大部分区域的肌浆溶解,肌原纤维明显断裂、弯曲不齐,肌纤维间隙增大,肝脏组织中肝细胞增生,单核细胞增多,实质细胞变大,结缔组织的嗜碱性减弱;但仅有体表病灶处发现寄生的盾纤毛虫,体内组织未发现明显病变和盾纤毛虫。本实验大黄鱼感染盾纤毛虫的主要部位是体表,可能是在购买鱼苗时,人员的挑选、搬动导致了机体损伤,而在伤口尚未愈合时,运输造成的应激反应和实验室循环水的饲养使盾纤毛虫侵入大黄鱼体表受损部位、水质被污染,进而造成盾纤毛虫传染性的传播。本次大黄鱼病害病程短,表明该虫拥有极强的繁殖力、传染性,应引起实验室循环水养殖大黄鱼者的广泛关注。
盾纤毛虫病是室内工厂化养殖和海上网箱养殖鱼类常见的体内寄生的纤毛虫疾病,其主要在小鱼、中等大小的鱼中发病,且鱼体规格越小,发病率越高,有调查显示盾纤毛虫病在小于10 cm鱼的总发病率约为86.4%,常见发生于鲆鲽鱼、鲷鲈鱼、金枪鱼、红鳍东方鲀等养殖鱼类,对养殖业造成极其严重的经济损失。盾纤毛虫疾病的病原体主要有海洋尾丝虫(Uronema marinum)、暗尾丝虫(Uronema nigricans)、舌齿鲈嗜污虫(Philasterides dicentrarchi)、高盐拟康纤虫(Pseudocohnilembus persalinus)、水滴伪康纤虫、贪食迈阿密虫、指状拟舟虫(Paralembus digitiformis)、喙突拟梭虫(Paralembus rostratus)、蟹栖异阿脑虫、巨大拟阿脑虫(Paranophys magna)等[13]。本次发现寄生于大黄鱼体表的盾纤毛虫病原体经形态学初步鉴定为水滴伪康纤虫,但还需使用分子学方法进行进一步的探究。
参考文献
传统“弓鱼”技术对延长大黄鱼存活时间的探讨
[J].本研究以大黄鱼为试验对象,采用“初绑”、“喂水”、“绑水”的传统技术将大黄鱼弯成一个“弓”形,分析不同弓鱼位置、弓鱼方向、“喂水”过程等因素对大黄鱼存活时间和存活率的影响,旨在评估传统“弓鱼”技术在大黄鱼活体运输上的效果。该研究结果表明,经“弓鱼”技术处理后在离水条件下大黄鱼的存活时间可达2 h以上,比不做任何处理的存活时间延长4倍;穿过鱼嘴和鳃盖的捆绑方式比传统的穿鼻孔方式存活率高;“喂水”过程的有效时间是1 h;不同的“弓鱼”方向可能是当地渔民的一个习惯,对存活时间和存活率无明显影响。由此可知,传统“弓鱼”技术对大黄鱼的活体运输具有一定效果,但具体的细节还需进一步优化。
Excavating differentially expressed antimicrobial peptides from transcriptome of Larimichthys crocea liver in response to Cryptocaryon irritans
[J].
De novo characterization of the spleen transcriptome of the large yellow croaker (Pseudosciaena crocea) and analysis of the immune relevant genes and pathways involved in the antiviral response
[J].
Visceral granulomas in farmed large yellow croaker, Larimichthys crocea (Richardson), caused by a bacterial pathogen, Pseudomonas plecoglossicida
[J].An enzootic disease characterized by granulomas in internal organs occurred in cage-farmed large yellow croaker, Larimichthys crocea (Richardson), in April and November 2010, in Ningbo, Zhejiang Province. One bacterial strain, named XSDHY-P, was isolated from the diseased fish and identified by biochemical characterization, fatty acid methyl ester (FAME) analysis and multilocus sequence analysis (MLSA). According to the results obtained from the biochemical tests, FAME analysis and phylogenetic analysis derived from 16S ribosomal RNA, gyrB, oprF, oprI, oprL and rpoD gene sequencing, the bacterial isolate, XSDHY-P, was identified as Pseudomonas plecoglossicida. Moreover, lethal dose, 50% trials were carried out to demonstrate the virulence of XSDHY-P in large yellow croaker when administered at 2.13 9 105 colony-forming units per fish. Visceral granulomas were found in the experimentally infected fish as well as in the naturally infected fish, indicating that P. plecoglossicida is another bacterial pathogen that causes granulomatosis in L. crocea.
An outbreak of scuticociliatosis in cultured common dentex (Dentex dentex)in Turkey
[J].
First report of scuticociliatosis caused by Uronema sp. in ornamental reef fish imported into Brazil
[J].Scuticociliatosis, which is caused by an opportunistic ciliate protozoan, is responsible for significant economic losses in marine ornamental fish. This study reports the occurrence of Uronema sp., which was found to be parasitizing three species of marine reef fish imported into Brazil and maintained in quarantine: Vanderbilt’s Chromis (Chromis vanderbilti), blue-green damselfish (Chromis viridis), and sea goldie (Pseudanthias squamipinnis). During the quarantine period, some fish presented with behavioral disorders and hemorrhages and ulcerative lesions on the body surface. Histopathological analysis showed hemorrhages, inflammation comprising mononuclear and granular cells in the skeletal muscle, and necrosis of the skin and the secondary lamellae of the gills, and parasites were also observed in the renal capsule. The absence of transboundary measures available to prevent the occurrence of ornamental fish diseases is also discussed.
Philasterides dicentrarchi (Ciliophora, Scuticociliatida) as the causative agent of scuticociliatosis in farmed turbot Scophthalmus maximus in Galicia (NW Spain)
[J].Two outbreaks of scuticociliatosis affecting farmed turbot Scophthalmus maximus in Galicia are described. Moribund fish showed cutaneous ulcers, darkened skin, swimming behaviour alterations, exophthalmos, and/or abdominal distension as a result of accumulation of ascitic fluid in the body cavity. Ciliates were detected in fresh mounts of practically all organs and tissues, including the blood and ascitic fluid. Histopathological studies revealed severe encephalitis and meningitis (associated with different degrees of softening or liquefaction of the brain), necrosis of the hepatic parenchyme, severe oedema of the intestinal wall, degeneration of muscle fibres, hyperplasia of the branchial epithelium, and/or vascular and perivascular inflammation. In some cases, parasites are surrounded by abundant monocytic and lymphocytic infiltrate. We report the morphological and biometric characteristics of this ciliate, which allow identification as Philasterides dicentrarchi. We discuss possible routes of entry into the host, and environmental factors possibly facilitating infection.
寄生海水养殖鱼类的拟格拉夫涡虫 (Pseudograffilla sp.) 记述
[J].
/
| 〈 |
|
〉 |


